Periodoncia en Sevilla: Cuida la salud de tus encías


La periodoncia es esencial para prevenir y tratar enfermedades de las encías y mantener la salud bucodental. En Clínica Dental Barqueta, en Sevilla, ofrecemos diagnóstico avanzado, tratamientos personalizados y un enfoque preventivo para cuidar tus encías antes de que surjan problemas mayores.
¿Qué es la periodoncia y por qué es importante?
La periodoncia es la especialidad odontológica encargada de tratar las enfermedades de las encías y los tejidos que rodean y soportan los dientes. Su objetivo es mantener estos tejidos sanos y prevenir su deterioro.
Enfermedades periodontales: gingivitis y periodontitis


Periodontitis
Estadio avanzado de la enfermedad. Afecta el hueso y puede provocar pérdida dental si no se interviene.
Gingivitis
Inflamación de las encías causada por acumulación de placa bacteriana. Es reversible si se trata a tiempo.
Primera Visita Gratuita


En Clínica Dental Barqueta, tu salud bucodental es nuestra prioridad. Contamos con la mejor tecnología y un equipo especializado para ofrecerte la atención que mereces.
¡Solicita tu cita gratuita ahora y da el primer paso hacia una sonrisa perfecta!
Síntomas que indican problemas periodontales
Encías que sangran al cepillarse o usar hilo dental.
Mal aliento persistente.
Encías inflamadas, rojas o retraídas.
Dientes que se mueven o cambian de posición.
Sensibilidad al frío o al tacto.
Tratamientos de periodoncia que realizamos en Sevilla
Limpieza dental profunda
Eliminación de placa y sarro acumulado por encima y por debajo de la encía. Fundamental para prevenir y tratar la gingivitis.
Raspado y alisado radicular
Técnica para limpiar las raíces de los dientes y facilitar la regeneración del tejido gingival.
Injertos de encía
Indicados para casos de recesión gingival. Protegen la raíz dental y restauran la estética.
Cirugía periodontal
Intervención en casos de periodontitis avanzada para reducir bolsas periodontales y regenerar el tejido perdido.
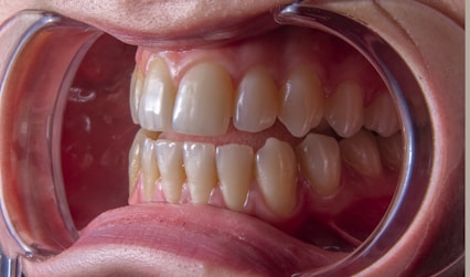
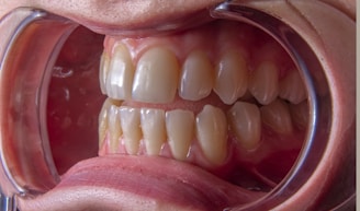
Casos de Periodoncia en nuestra clínica dental en Sevilla
Recuperación de la confianza y autoestima al volver a sonreír sin complejos.
Encías sanas, sin sangrado.
Agradecimiento al trato profesional y cercano recibido.
Isabel Moreno Mantero
★★★★★


¿Por qué elegir Clínica Dental Barqueta para tu tratamiento de periodoncia en Sevilla?
Tecnología avanzada en Clínica Dental Barqueta
Contamos con escáner y diseño digital de sonrisa para garantizar diagnósticos precisos y resultados estéticos previsibles.
Confía en la tecnología para lograr la sonrisa que deseas.
Atención personalizada desde la primera visita
Nuestro equipo está formado por profesionales en continua formación, comprometidos con tu bienestar. Desde la evaluación inicial hasta el seguimiento final, recibirás un trato cercano y soluciones adaptadas a ti.
Financiación Adaptada a Tus Necesidades
Tu sonrisa no debería esperar. En Clínica Dental Barqueta te ayudamos a acceder a los tratamientos que necesitas con opciones de financiación adaptadas a ti. Infórmate sin compromiso y empieza hoy a cuidar tu salud bucodental.
Preguntas frecuentes sobre periodoncia en Sevilla
¿Cuándo debería visitar a un periodoncista?
Cuando hay sangrado de encías, mal aliento persistente, encías retraídas o dientes que se mueven.
¿El tratamiento duele?
Se realiza con anestesia local. Las molestias son leves y temporales.
¿Qué pasa si no se trata una enfermedad periodontal?
Puede derivar en la pérdida del diente, infecciones y afectar la salud general (diabetes, corazón).
¿La enfermedad de las encías tiene cura?
La gingivitis es reversible con buenos hábitos de higiene dental. La periodontitis debe ser controlada por profesionales y seguir el tratamiento adecuado.
Contacto
Responsable de tus datos: Clínica Dental La Barqueta S.L.
Finalidad: envío de mis publicaciones, respuestas, así como correos comerciales.
Legitimación; es gracias a tu consentimiento
Destinatarios: tus datos se encuentran alojados en mi proveedor de hosting Hostinger
Tus Derechos: Acceso, Rectificación, Limitación, Oposición, Portabilidad o Suprimir tus datos en info@clinicadentalBarqueta.com
Información adicional: Puedes consultar la información adicional y detallada en nuestra Política de Privacidad.
¿Tienes dudas? ¿Quieres agendar tu primera visita gratuita?
Rellena nuestro formulario de contacto y te responderemos lo antes posible.


